-
Ⅰ度:白头粉刺和黑头粉刺
皮质堆积在毛孔内,毛孔内皮脂排泄到皮肤表面
-
II度:炎症性痤疮
痤疮开始变红变大,触摸时开始有疼痛感
-
III度:结节囊肿集簇性
炎症逐渐发肿,出现黄色脓液,多半留下瘢痕
-
IV度:集簇性痤疮
表现为Ⅲ度加囊肿,形成疤痕,皮损可发生于上半身
-
阻断病灶
深层清除体内湿、热、毒阻断青春痘发病根源
-
标本兼治
直击根源,治标治本彻底清除,不复发
-
安全高效
比普通疗法高50%强效性治疗时间缩短1/6
-
光洁皮肤
重组皮肤纤维,恢复肌肤弹性缩小毛孔,重塑光洁皮肤
-
轻度:痘痘治疗前后对比图
-
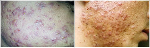
中度:痘痘治疗前后对比图
-
重度:痘痘治疗前后对比图
肤康·中国 专题推荐